MIJIN

クリニック・施術を検索
ログイン 会員登録
  • クリニック
    カテゴリー
    • 全体を見る
    • 美容外科
    • 皮膚クリニック
    • 眼科
    • 歯科
    人気施術
    • 目の整形
    • 脂肪吸引
    • 鼻整形
    • 輪郭形成
    • 豊胸手術
  • 美容外科
  • 皮膚クリニック
  • 眼科
  • 歯科
  • 口コミ REAL
  • ビフォーアフター
  • YouTube
  • マガジン NEW
  • イベント HOT
  • バーチャル整形 AI
MIJIN
ログイン 新規登録
人生ガチャ
人生ガチャ
クリニック
全体 美容外科 皮膚クリニック 眼科 歯科
コンテンツ
口コミ B&A YouTube マガジン イベント
サポート
よくある質問 お知らせ お問い合わせ
ソーシャルログイン
  1. ホーム
  2. ビフォーアフター
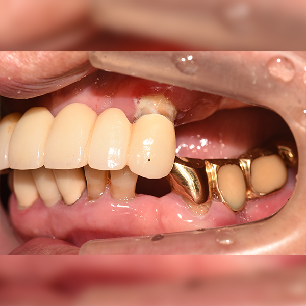
  3. ケース17 60代 ノ*ヒョン 2019-06-18 / 2020-03-19
One Day Dental Clinic
全顎/全体 / 骨移植|睡眠

ケース17 60代 ノ*ヒョン 2019-06-18 / 2020-03-19

2026.02.15 | 113
After After
Before Before
Drag to compare
Before Before
After After
Before Before
After After
クリニック情報
One Day Dental Clinic の詳細を見る
ビフォーアフター一覧に戻る
MIJIN
  • 会社名: 株式会社ビューティーアゲイン
  • 事業者登録番号: 706-88-03573
  • 住所: ソウル特別市九老区デジタル路34キル55、コーロンサイエンスバレー2次B201-161-7号 (08378)
  • お問い合わせ: +82-10-7213-3785
  • メール: cs@rebeauty.co.kr
  • 営業時間: 平日 09:00 - 18:00(韓国時間)
カスタマーサービス
  • お知らせ
  • よくある質問
  • サポート
  • お問い合わせ
  • 利用規約
  • プライバシーポリシー
フォローする
ニュースレター

K-Beauty情報とお得なクーポンをお届けします。

© 2026 MIJIN. All rights reserved.

日本語対応 安心予約 厳選クリニック
今見ている人:
ホーム 検索 人生ガチャ お気に入り メッセージ マイ
人気キーワード
美容外科 皮膚科 歯科 ボトックス フィラー